여성 단골 '무지외반증' 50대 이후 더 취약
하이힐·샌들·뾰족한 신발이 주요 유발 원인
통증·염증·관절탈구 등 심하면 수술 받아야
▲바른세상병원 수족부센터 윤영식 원장이 무지외반증 수술 후 회복중인 환자의 상태를 확인하고 있다. 사진=바른세상병원
무지외반증은 엄지발가락이 둘째 발가락 쪽으로 심하게 휘어져 생기는 병이다. 앞이 꽉 끼는 신발이나 하이힐(킬힐)때문에 생겨 '하이힐병'이라고도 한다. 무지외반증이 진행되면 엄지발가락 통증과 함께 발바닥에 굳은살이 생기고 신발을 신고 걸을 때 통증이 발생한다. 무지외반증은 남성보다 여성에게서 흔하게 발견된다. 40대 후반, 50대 초반의 폐경 이후에는 발가락의 변형이 더 빠르다.
무지외반증의 발병 원인은 크게 선천적 요인과 후천적 요인으로 나눌 수 있다. 영남대병원 박철현 교수(정형외과)는 “선천적 요인으로는 원위 중족 관절면 각이 과다한 경우, 평발과 넓적한 발, 원발성 중족골 내전증, 과도하게 유연한 발등 4가지가 꼽히고 후천적인 발병 원인은 높은 신발이나 앞이 뾰족한 신발 등의 잘못된 신발을 신는 경우가 대표적"이라고 설명했다.
무지외반증이 생기면 엄지발가락 관절 안쪽의 돌출 부위에 염증과 통증이 발생한다. 엄지발가락이 압력을 분산하는 기능을 못 하게 되면서 두 번째, 세 번째 발가락에도 굳은살과 통증·염증이 생긴다. 또 변형이 심해지면 엄지발가락이 2번째 발가락 아래로 파고들어 관절이 탈구되기도 한다.
무엇보다 큰 문제는 엄지발가락 관절 부위(발 안쪽)가 밖으로 돌출돼 혹처럼 튀어나오는 것이다. 신발의 압박과 마찰로 심한 통증이 생기면서 걷기가 불편해지고, 증상이 더 악화하면 신발을 신지 않아도 통증이 느껴지고 발의 균형이 무너져 걸음걸이가 불안정해진다. 관절 탈구뿐 아니라 엄지관절 부위에 관절염이 발생할 수도 있다.
◇'하이힐병' 무지외반증, 후천적 원인 대다수는 잘못된 신발 착용
보건복지부 지정 관절전문 바른세상병원 수족부센터 윤영식 원장(정형외과 전문의)은 “초기에는 발가락 사이에 보조기를 끼거나 교정 깔창 등을 이용한 보존적 치료로 진행속도를 어느 정도 늦출 수 있지만 이미 변형이 뚜렷하고 통증이 일상생활에 영향을 미치는 경우라면 교정 수술이 불가피하다"고 강조했다. 윤 원장은 “심한 경우 비수술적 치료만으로는 교정이 불가능하고, 치료하기 전까지 발가락 변형이 지속되기 때문에 전문의에 의한 조기 진단이 중요하다"면서 “특히 무지외반 변형 각도가 40도 이상으로 커지면 수술 방법이 복잡해지고, 재발 가능성도 높아질 수 있다"고 경고했다.
과거 무지외반증 수술은 변형된 뼈를 교정하기 위해 엄지발가락 뼈 안쪽을 절개하는 방식으로 진행되어 수술 후 통증과 더딘 회복으로 인해 환자들의 신체적, 심적 부담이 컸다. 하지만 최근에는 뼈와 인대 등 손상을 최소화할 수 있는 최소침습 치료법으로 절개 없이 치료한다.
무지외반 수술은 변형된 엄지 발가락 주변으로 중요한 신경, 인대, 혈관들이 있기 때문에 수술 시 그 주변 조직의 소상이 없도록 해야 하는 고난도 수술인 만큼 의료진의 풍부한 임상 경험과 노하우가 매우 중요하다.
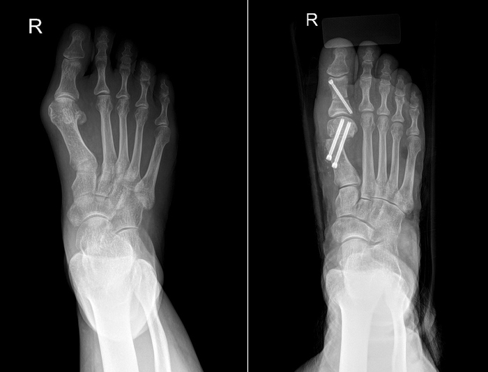
▲무지외반증 수술 전(왼쪽)과 수술 후 엑스레이 영상. 사진=바른세상병원
윤 원장은 “미카(MICA)교정술과 미타(MITA)교정술 같은 최소침습수술은 바늘 모양의 미세 절삭 기구(버, burr)를 이용해 2~3㎜ 크기의 작은 구멍을 통해 변형된 뼈를 교정하는 방식으로, 기존의 4~5㎝ 절개 방식보다 수술 시간과 회복 기간이 크게 단축된다"고 밝혔다. 미카·미타 교정술은 골막이 보존되어 뼈가 잘 아물고, 절개 부위가 작아 수술 후 통증과 흉터 부담이 모두 적다는 장점이 있다. 수술 후에는 보조기를 이용한 조기 보행이 가능하며, 빠른 일상 복귀가 가능하다.
무지외반증을 예방하기 위해서는 신발 선택이 중요하다. 굽이 높거나 발 볼이 좁은 불편한 신발은 피하고 볼이 넓고 신었을 때 발가락 공간이 넉넉해서 발가락 움직임이 편한 신발을 선택하는 것이 좋다.
◇'최소침습 치료법', 절개 없이 치료…뼈·인대 손상 최소화
평소 발의 피로감을 자주 느낀다면 발을 주무르고 스트레칭을 해주고, 따뜻한 물에 담가 15~20분 가량 족욕을 해주는 것도 무지외반증 예방에 도움이 된다. 그리고 외측으로 틀어진 엄지발가락을 내측으로 밀어주는 역할을 하는 다양한 형태의 보조기를 착용할 수 있다. 하지만 변형이 많이 진행된 경우에는 보조기의 효과가 크지 않다고 전문의들은 전했다.
수술 여부를 결정해야 할 때 가장 중요한 요인은 환자가 주관적으로 느끼는 불편함의 정도다. 박 교수는 “아무리 변형이 심해도 미용적인 목적을 위해 수술을 하는 것은 피해야 한다"고 했다. 무지외반증의 수술 방법은 매우 다양하고 각각의 장단점이 있기 때문이라는 것이다. 그런 만큼 환자의 나이, 변형의 심한 정도, 환자가 가장 불편하게 생각하는 부분 등을 고려해 수술 방법을 결정하게 된다. 일반적으로는 돌출 부위의 뼈를 깎아 내고 내·외측으로 치우친 뼈를 잘라서 각을 교정하며 짧아진 근육 및 연부 조직을 늘려주는 방법을 시행하게 된다.
바른세상병원은 손(수부)와 발(족부) 질환을 전담하는 수족부센터를 운영하며 세분화된 전문 진료 체계를 갖추고 있다. 손과 발은 일상적인 움직임과 균형 유지에 직접 관여하는 부위로, 작은 이상도 생활 전반의 불편으로 이어질 수 있다. 따라서 정확한 진단과 함께 뼈, 관절, 인대, 신경 등 해부 구조에 대한 이해를 기반으로 한 정밀한 치료가 필수적이다.




![트럼프, ‘비협조’ 유럽에 관세 인상·미군 감축…한국에도 불똥튈까 [이슈+]](http://www.ekn.kr/mnt/thum/202605/rcv.YNA.20260502.PEP20260502055801009_T1.jpg)

![[주간 신차] 현대차 ‘더 뉴 그랜저’ 베일 벗었다](http://www.ekn.kr/mnt/thum/202605/news-p.v1.20260501.90c6b1f2912149029f3fb77c2905f359_T1.png)
![[단독] 서울시 ‘통합개발’, 협의 깨지면 ‘개발 배제’…주민 ‘눈물’](http://www.ekn.kr/mnt/thum/202604/news-p.v1.20260429.0f5368c66f634974978f74cb261c0a8e_T1.jpg)
![[에너지 인사이트] “닫힌 듯 열려 있는 호르무즈”…에너지 안보의 본질을 묻다](http://www.ekn.kr/mnt/thum/202604/news-p.v1.20260428.abdaec4a2f484d23b12c93132844d1e6_T1.png)

![[EE칼럼] 트럼프 리스크와 중동 전쟁: 에너지 질서 재편의 출발점](http://www.ekn.kr/mnt/thum/202604/news-p.v1.20260417.28bdc509b1f04f2a8df61242e6d2e1cd_T1.png)
![[EE칼럼] 수소산업의 르네상스를 꿈꾸며](http://www.ekn.kr/mnt/webdata/content/202604/40_화면_캡처_2026-04-28_222.jpg)
![[김병헌의 체인지] 삼성전자에 쏠린 성과급 압박, 혁신 동력 흔든다](http://www.ekn.kr/mnt/thum/202604/news-p.v1.20260416.e74981dbd1234907aa315469fbcafa49_T1.png)
![[이슈&인사이트] 이란 전쟁으로 확산하는 한국의 드론 딜레마](http://www.ekn.kr/mnt/thum/202604/news-p.v1.20240325.ede85fe5012a473e85b00d975706e736_T1.jpg)
![[데스크 칼럼] 집단소송법 소급적용, 누구를 위한 법인가](http://www.ekn.kr/mnt/thum/202604/news-p.v1.20260428.4bab7efb28f74c4488d6dd7734063576_T1.jpg)
![[기자의 눈] ‘1% 미만 외산폰’의 도전이 반가운 이유](http://www.ekn.kr/mnt/thum/202604/news-p.v1.20260429.4f323970afa644e58aefdaec727c1726_T1.jpg)


































