니비게이트 인공관절수술 AI플랫폼 활용한 수술
해부학적 특성 정밀 반영해 정확도·안전성 높여
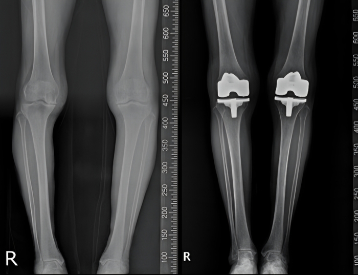
▲80대 여성을 대상으로 이뤄진, 니비게이트 AI인공관절수술 시스템을 접목한 무릎인공관절 치환술 수술전(왼쪽)과 수술 후 영상. 사진=연세사랑병원
무릎 인공관절 수술의 정확도와 환자 만족도를 높이기 위해 인공지능(AI)을 접목한 환자 맞춤형 인공관절수술 플랫폼 니비게이트(KNEEVIGATE)가 최근 주목받고 있다.
18일 연세사랑병원에 따르면, 니비게이트는 수술 전 환자의 MRI 및 영상 데이터를 기반으로 무릎 관절의 정렬, 뼈의 형태, 변형 정도를 정밀 분석해 수술 계획을 수립하는 시스템이다. 니비게이트 인공관절 수술의 핵심은 PSI(Patient Specific Instrument, 환자 맞춤형 수술 가이드)의 활용이다. PSI는 환자 개인의 해부학적 특성을 반영해 제작된 맞춤형 절삭 가이드로, 수술 중 뼈를 절삭하는 위치와 각도를 보다 정확하게 유도하는 역할을 한다. 이를 통해 기존 획일적인 수술 방식에서 벗어나 환자 개개인에 맞춘 정밀한 인공관절 삽입이 가능해진다.
퇴행성 관절염은 관절을 보호하는 연골이 점차 닳아 없어지면서 통증과 변형을 유발하는 대표적인 퇴행성 질환으로, 주로 무릎 관절에서 많이 발생한다. 초기에는 계단을 오르내릴 때 통증이나 뻣뻣함으로 시작해 점차 보행 자체가 어려워지는 것이 특징이다. 증상이 진행되면 통증으로 인해 일상적인 걷기, 앉았다 일어서기, 장시간 외출 등이 제한되며, 삶의 질 전반에 큰 영향을 미친다. 특히 약물치료나 주사치료로 증상 조절이 어려운 말기 퇴행성 관절염의 경우 인공관절 수술이 필요하다.
니비게이트 플랫폼을 활용한 인공관절 수술은 △환자별 무릎 정렬과 관절 구조를 반영한 수술 계획 수립 △절삭 오차를 줄여 인공관절 정렬의 정확도 향상 △불필요한 연부조직 손상 감소 △수술 결과의 예측 가능성 향상 등의 장점을 갖는다. 이는 수술 후 무릎 기능 회복과 통증 감소, 인공관절의 장기적 안정성 측면에서도 긍정적인 영향을 줄 수 있다.
고용곤 병원장은 “퇴행성 관절염 환자는 같은 진단명이라도 관절 변형의 정도와 뼈의 형태가 모두 다르기 때문에 환자 맞춤형 수술이 중요하다"면서 “니비게이트 플랫폼과 PSI를 활용한 인공관절 수술은 환자의 해부학적 특성을 정밀하게 반영해 보다 정확하고 체계적인 수술을 가능하게 하는 것이 특징"이라고 설명했다.




![트럼프, ‘비협조’ 유럽에 관세 인상·미군 감축…한국에도 불똥튈까 [이슈+]](http://www.ekn.kr/mnt/thum/202605/rcv.YNA.20260502.PEP20260502055801009_T1.jpg)

![[주간 신차] 현대차 ‘더 뉴 그랜저’ 베일 벗었다](http://www.ekn.kr/mnt/thum/202605/news-p.v1.20260501.90c6b1f2912149029f3fb77c2905f359_T1.png)
![[단독] 서울시 ‘통합개발’, 협의 깨지면 ‘개발 배제’…주민 ‘눈물’](http://www.ekn.kr/mnt/thum/202604/news-p.v1.20260429.0f5368c66f634974978f74cb261c0a8e_T1.jpg)
![[에너지 인사이트] “닫힌 듯 열려 있는 호르무즈”…에너지 안보의 본질을 묻다](http://www.ekn.kr/mnt/thum/202604/news-p.v1.20260428.abdaec4a2f484d23b12c93132844d1e6_T1.png)

![[EE칼럼] 트럼프 리스크와 중동 전쟁: 에너지 질서 재편의 출발점](http://www.ekn.kr/mnt/thum/202604/news-p.v1.20260417.28bdc509b1f04f2a8df61242e6d2e1cd_T1.png)
![[EE칼럼] 수소산업의 르네상스를 꿈꾸며](http://www.ekn.kr/mnt/webdata/content/202604/40_화면_캡처_2026-04-28_222.jpg)
![[김병헌의 체인지] 삼성전자에 쏠린 성과급 압박, 혁신 동력 흔든다](http://www.ekn.kr/mnt/thum/202604/news-p.v1.20260416.e74981dbd1234907aa315469fbcafa49_T1.png)
![[이슈&인사이트] 이란 전쟁으로 확산하는 한국의 드론 딜레마](http://www.ekn.kr/mnt/thum/202604/news-p.v1.20240325.ede85fe5012a473e85b00d975706e736_T1.jpg)
![[데스크 칼럼] 집단소송법 소급적용, 누구를 위한 법인가](http://www.ekn.kr/mnt/thum/202604/news-p.v1.20260428.4bab7efb28f74c4488d6dd7734063576_T1.jpg)
![[기자의 눈] ‘1% 미만 외산폰’의 도전이 반가운 이유](http://www.ekn.kr/mnt/thum/202604/news-p.v1.20260429.4f323970afa644e58aefdaec727c1726_T1.jpg)


































