고용곤 병원장 “전치환술과 함께 치료 선택 폭 넓혀"
영상 검사·다리 정렬·관절운동 범위 등 종합적 평가
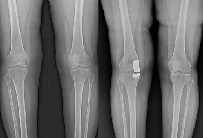
▲무릎 인공관절 수술 전-후 엑스레이 영상. 사진=연세사랑병원
고령사회에서 무릎 건강은 삶의 질을 결정짓는 주요 지표이다. 무릎 퇴행성 관절염은 연골이 닳고 뼈가 마모되면서 관절이 붓고 굳어지는데, 환자마다 손상 형태와 진행 속도가 다르기 때문에 수술법도 개인에 맞춰 결정해야 한다.
무릎 인공관절 수술은 닳아버린 관절 표면을 제거하고 금속·고분자 재질의 인공관절로 대체해 통증을 줄이고 움직임을 회복하도록 돕는 수술이다. 보통은 무릎 안쪽·바깥쪽·앞쪽(슬개대퇴부) 등 전체 구역에 관절염이 퍼져 있을 때 무릎 전체를 교체하는 전치환술이 시행된다.
그러나 모든 환자에게 동일하게 관절염이 진행되는 것은 아니며, 특정 구역만 손상된 경우에는 정상 조직을 보존하는 인공관절 부분치환술이 치료 방법으로 고려될 수 있다.
관절염이 한 구역에서만 진행된 환자에게는 부분치환술을, 여러 부위가 함께 손상되었거나 인대 기능이 약해진 경우에는 전치환술을 적용하는 것이다. 관절염의 진행 양상은 매우 다양해 어느 한 수술법이 모든 환자에게 더 우수하다고 말할 수 없으며, 정확한 평가를 통해 개인에게 가장 적합한 방법을 선택하는 것이 핵심이다.
7일 보건복지부 지정 관절전문병원인 연세사랑병원에 따르면, 부분치환술은 무릎 관절 안쪽이나 바깥쪽 등 손상된 한 구역만 인공관절로 교체하고, 손상되지 않은 연골과 뼈, 인대는 그대로 보존하는 것이 특징이다. 환자의 원래 무릎 기능을 최대한 남길 수 있다는 점에서 의미가 있으며, 수술 범위가 전체치환술보다 작아 회복이 빠르다는 보고도 있다. 다만 이는 환자에 따라 차이가 있어 모든 경우에 동일한 결과가 나타난다고 단정할 수는 없다.
부분치환술은 남겨 둔 정상 조직과 인공관절이 정확히 맞아야 하기 때문에 작은 오차에도 영향을 받을 수 있어 세밀한 수술 계획이 필수적이다. 연세사랑병원은 “정밀 진단을 토대로 환자에게 적합한 수술 방법을 판단하고 있다"면서 “인공관절 부분치환술 가능한지는 관절염이 어디까지 진행됐는지 확인하는 영상검사, 무릎 인대 기능, 다리 정렬, 관절 운동 범위 등 여러 요소를 종합적으로 평가해 결정한다"고 밝혔다.
고용곤 병원장은 “한쪽 구역만 손상된 환자에게는 부분치환술이 선택지가 될 수 있지만, 적응증이 명확해야 좋은 결과를 기대할 수 있어 전문적인 진단이 반드시 필요하다"고 설명했다. 이어 “환자 상태를 꼼꼼하게 분석해 가장 적합한 치료 방향을 제시하는 것이 병원의 역할"이라고 강조했다.
무릎 관절염이 진행되면 환자들은 계단을 오르내리기 어렵고, 오래 걷기 힘들며, 움직일 때 통증이나 소리가 나는 등의 불편을 호소한다. 관절염이 상당히 진행된 경우에는 약물·주사 등 보존적 치료만으로는 일상생활이 어려워져 인공관절 수술을 고려하게 된다.




![트럼프, ‘비협조’ 유럽에 관세 인상·미군 감축…한국에도 불똥튈까 [이슈+]](http://www.ekn.kr/mnt/thum/202605/rcv.YNA.20260502.PEP20260502055801009_T1.jpg)

![[주간 신차] 현대차 ‘더 뉴 그랜저’ 베일 벗었다](http://www.ekn.kr/mnt/thum/202605/news-p.v1.20260501.90c6b1f2912149029f3fb77c2905f359_T1.png)
![[단독] 서울시 ‘통합개발’, 협의 깨지면 ‘개발 배제’…주민 ‘눈물’](http://www.ekn.kr/mnt/thum/202604/news-p.v1.20260429.0f5368c66f634974978f74cb261c0a8e_T1.jpg)
![[에너지 인사이트] “닫힌 듯 열려 있는 호르무즈”…에너지 안보의 본질을 묻다](http://www.ekn.kr/mnt/thum/202604/news-p.v1.20260428.abdaec4a2f484d23b12c93132844d1e6_T1.png)

![[EE칼럼] 트럼프 리스크와 중동 전쟁: 에너지 질서 재편의 출발점](http://www.ekn.kr/mnt/thum/202604/news-p.v1.20260417.28bdc509b1f04f2a8df61242e6d2e1cd_T1.png)
![[EE칼럼] 수소산업의 르네상스를 꿈꾸며](http://www.ekn.kr/mnt/webdata/content/202604/40_화면_캡처_2026-04-28_222.jpg)
![[김병헌의 체인지] 삼성전자에 쏠린 성과급 압박, 혁신 동력 흔든다](http://www.ekn.kr/mnt/thum/202604/news-p.v1.20260416.e74981dbd1234907aa315469fbcafa49_T1.png)
![[이슈&인사이트] 이란 전쟁으로 확산하는 한국의 드론 딜레마](http://www.ekn.kr/mnt/thum/202604/news-p.v1.20240325.ede85fe5012a473e85b00d975706e736_T1.jpg)
![[데스크 칼럼] 집단소송법 소급적용, 누구를 위한 법인가](http://www.ekn.kr/mnt/thum/202604/news-p.v1.20260428.4bab7efb28f74c4488d6dd7734063576_T1.jpg)
![[기자의 눈] ‘1% 미만 외산폰’의 도전이 반가운 이유](http://www.ekn.kr/mnt/thum/202604/news-p.v1.20260429.4f323970afa644e58aefdaec727c1726_T1.jpg)


































